治療例

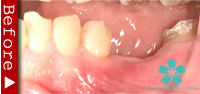
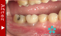
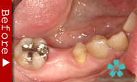
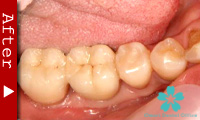
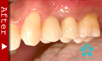
歯を一本だけ失った場合

“失われた1本の歯根の代理品”としてインプラントを1本だけ使って失った歯の部分を修復する方法は、最も洗練された治療方法であり、審美的にも満足のいく結果が得られます。
1本のインプラントによってあたかも自分の天然歯のように自然に感じられます。顎骨の”萎縮”の心配もなく、本来の骨量を維持できます。
ブリッジを入れる時のように、健康な隣の歯を削る必要がありません。

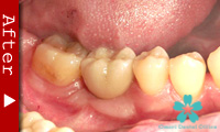
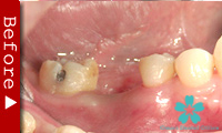
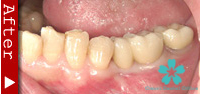
数本の歯を失った場合

この場合もインプラントが理想的な解決法となります。数本のインプラントを歯のない部分に入れ、これを土台としてヘッド部にブリッジをかぶせます。

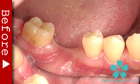
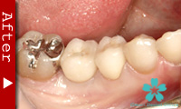
歯のない部分が広い場合

臼歯が失われた場合、従来は取り外し式の部分入れ歯で咬合機能を回復させてきました。
これに対し、インプラントなら天然歯と同様の感覚の”固定式”人工歯を入れることができます。

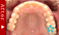
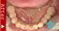
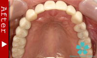
歯が全くない場合

下顎の歯が1本もない場合の修復には、インプラントが良く利用されます。
インプラントのヘッド部をバー状の維持装置で連結し、その上に取り外し式の入れ歯をしっかりと固定することができます。














ページトップへ